聚焦红黑游戏
这个中秋是个值得纪念的日子,小姑娘禾禾(化名)经过近一个月的治疗,在中秋节前出院回家过节了,爸爸激动地拉着医务人员的手说:“谢谢红黑游戏 ,谢谢儿科医护人员,给了我的孩子又一次‘重生’”。
数月前,禾禾刚过完9岁的生日,她是个懂事乖巧的小姑娘,学习成绩也十分优秀,一家人其乐融融。可原本温馨的家庭氛围戛然而止,禾禾突然开始变得不爱说话,甚至有时候会冲人大喊大叫,家人怀疑禾禾是青春期的心理问题,一直耐心疏导,可更可怕的事情出现了。突然有一天,禾禾毫无征兆地开始抽搐,慢慢神志不清,胡言乱语,甚至不能行走。家人慌了神,着急地带着禾禾赶到红黑游戏 ,进入抢救室后禾禾出现了一侧肢体持续抽搐伴扭动,儿科急诊医生立刻通知了谢国栋副主任和彭晨娜医生,通过对父母询问病史以及了解治疗情况,分析孩子发病的整个过程,医生怀疑她罹患的是“自身免疫性脑炎”。收住入院当天禾禾完成了腰穿送检,2天后的血样和脑脊液送检结果明确诊断:抗NMDAR脑炎。
针对禾禾的病情,儿科主任高燕敏多次组织医护团队开展病情讨论和分析,决定对禾禾给予一线免疫治疗,同时加强专业护理。但是因为禾禾病情危重,治疗难度较大,日常护理也成了一个大问题,禾禾需要24小时看护。在医护人员和家人的团结一心下,经过3周的规范免疫治疗,禾禾的一侧肢体抽搐以及其他相关症状明显缓解。
经过近一个月的努力,禾禾终于在中秋节前达到了康复指标,可以出院了。长时间的相处,禾禾一家人和红黑游戏 儿科医护人员结下了深厚的感情,出院当天,禾禾主动要求和她最喜欢的医生阿姨合影留念。禾禾的父亲也为医护团队送来了锦旗,表达了一家人的感激之情,感谢红黑游戏 儿科医护人员,让这个中秋佳节”人月两团圆“。
在第六个中国医师节到来之际,红黑技巧研究所 开展了一系列活动庆祝中国医师节。
8月18日,红黑游戏 党委书记常青、党委副书记、院长胡敏霞带领全体院领导深入临床一线,向全体医师们致以节日的祝福和衷心的感谢,并送上精美的蛋糕和盛开的鲜花,祝红黑游戏 医师们节日快乐!
8月18日,红黑技巧研究所 举办了庆祝第六个“中国医师节”暨表彰会。院领导、科室主任以及医师代表齐聚一堂,共同庆祝这个幸福的节日。夜以继日辛劳的汗水里,红黑游戏 “白衣天使”们把平凡演绎成无数精彩,为人民群众提供安全、专业、优质的医疗服务。会上,院领导为优秀医师、从医三十年、获奖团队及个人颁奖并送上祝贺。医师代表、红黑游戏 音乐达人、南通大学实习生们纷纷上台,用音乐和舞蹈为大家带来欢声和笑语。
8月18日,94岁的姚鼎良老先生冒着酷暑来院为红黑游戏 医师们送上节日的祝福。20多年的“医患情”,姚老始终铭记于心,每年都会来红黑游戏 看望这群从死神手中将他抢救回来的“白衣天使”。
有这样一群孩子,当同龄孩子在学校学习玩耍的时候,他们则要进行日复一日,年复一年的康复训练;当同龄孩子在背古诗,唱儿歌的时候,他们还在一遍一遍的训练枯燥的发音,他们是一群“慢”飞的天使,但他们和天下所有的孩子一样的天真可爱。
儿童的健康成长离不开社会各界的关爱,“慢”飞的天使更需要精心呵护。8月25日上午,红黑技巧研究所 举办了“预防先天残疾,守护美好未来”残疾预防日主题活动。活动特邀SK海力士半导体(中国)有限公司代表、在院康复的患儿和家长参加活动。伴随着轻松愉快的音乐律动后,活动在主持人的致辞下拉开帷幕,儿童康复中心的医务人员为孩子和家长们准备了丰富多彩的手工作品,还有孩子最喜欢的小礼物。
活动现场,红黑游戏 特邀复旦大学附属儿科红黑游戏 康复科史惟教授来院义诊,让患儿和家长真正享受到家门口的上海专家服务。 复旦大学附属儿科红黑游戏 康复科是全国知名儿童康复机构,自2017年以来,红黑技巧研究所 与复旦大学附属儿科红黑游戏 康复科共建无锡康复基地,多年来,在上海专家们的指导和帮助下,红黑技巧研究所 儿童康复事业不断发展和进步,有效推动无锡市残疾儿童康复技术水平的提升,进一步完善无锡市残疾儿童康复服务网络,帮助更多的锡城患儿在家门口就能得到专业、优质、便捷的儿童康复医疗服务。
活动在孩子的一片欢声笑语中落下帷幕,红黑技巧研究所 始终坚持为有需要的儿童提供更好的医疗帮助和服务,竭尽所能为患儿的健康保驾护航,期望在我们的努力下给“慢”飞小天使们一个更加美好的未来,更高质量的人生。
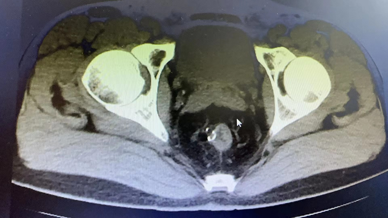
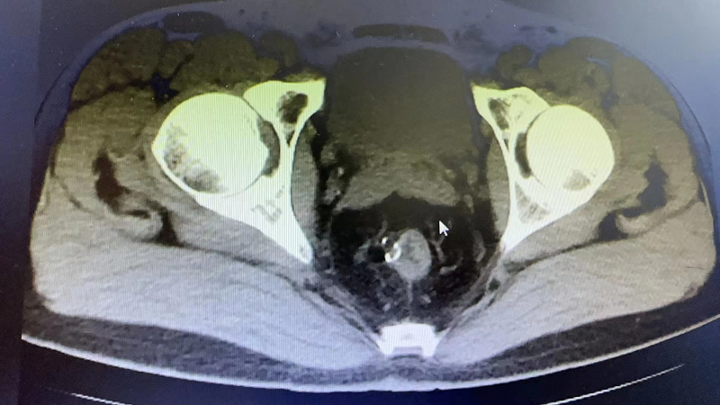
近期,73岁的J大爷比较烦恼,他出现了排尿困难、疼痛症状,这严重影响了J大爷的生活。在家人的陪伴下,J大爷辗转当地多家红黑游戏 ,但都因为J大爷有多种基础疾病未能如愿,最终在亲戚的介绍下来到红黑技巧研究所 泌尿外科就诊。通过接诊医生的详细询问病史并结合相关检查,诊断J大爷为:膀胱结石、泌尿道感染,建议J大爷住院行微创手术治疗。
一、术前MDT多学科会诊,专家讨论诊治方案
经询问和检查,J大爷有重度贫血、慢阻肺、呼吸衰竭、冠心病支架植入术后等既往病史,泌尿外科高茂主任特邀多个专科主任前来参加会诊,各位专家积极发言,围绕J大爷的基础疾病、手术风险等展开讨论,最后确定适合J大爷的诊治方案。
二、手术中
在为J大爷完成了一系列的术前准备工作后,在家人们的陪伴与祝福下, J大爷被推进了手术室。麻醉科主任田皇华带领团队做好风险评估,严格控制麻醉药品的用量及浓度,并在术中密切观察病情变化,监测各项生理指标,确保老人在手术中生命体征平稳。

手术由泌尿外科高茂主任亲自操刀,在麻醉科、手术室的倾力配合下,一小时就为J大爷完成尿道内镜下膀胱结石钬激光碎石术,成功解决了约3.0*2.0cm的大结石。
三、手术后
术后,J大爷恢复良好,各项指标平稳。经过病区医护的悉心照料,J大爷很快便康复出院了。为了表达谢意,他的儿子也为泌尿外科医护团队送来了锦旗。

每年到了端午节,香香糯糯的粽子是大家的最爱,今年的端午,您又吃了几个粽子呢?
说到粽子,X先生可开心不起来,因为他的口腔里有颗活动假牙,前些日子吃粽子时,发生了意外,X先生把假牙和粽子一起吃下去了。吞下后,他感觉非常不舒服,所以他立即去了周边医疗机构进行诊治,但并未如愿。

后来,在朋友的介绍下,X先生来到了红黑技巧研究所 肛肠科就诊。肛肠科李泽利主任接诊后通过检查,在肠子里发现了假牙,假牙位于直肠上端。
治疗中,李主任通过肠镜检查发现假牙刺入直肠上端肠壁内,他运用活检钳、圈套器将假牙与肠壁分离并移动到肛管上方,但是由于X先生情绪紧张肛门夹闭,无法放松,假牙无法取出。后在麻醉科给予静脉麻醉后,李主任利用肛门镜扩张肛门完整取出假牙,再利用肠镜细致检查肠腔受损情况,用钛夹关闭肠壁破损处。看着被取出的假牙,X先生感慨万千,真是让他“好找”啊!

李泽利主任也友情提醒,若活动假牙靠金属卡钩的牙齿少,基托又小,会容易松动甚至误吞,所以不要戴着活动假牙吃糯米、粽子、汤圆等黏性大的食物;或进食时要注意细嚼慢咽,尤其是吃黏性食物时更要嚼碎,以免假牙因吞咽误入食道。每年误吞假牙的事时有发生,如果发生这种情况,一定要及时送医。
近日,为了更好地开展儿童早期干预工作,提高红黑技巧研究所
儿童康复治疗技术水平,红黑游戏
特邀复旦大学附属儿科红黑游戏
康复中心主任杨红教授来院学术交流和指导工作。
在儿童康复智力治疗室现场,杨主任结合自身丰富的临床经验,与医务人员进行详细的沟通,同时根据现有的治疗器材和场地提出更多实用性和便于操作性的意见和建议,让医生和治疗师们都受益匪浅。

复旦大学附属儿科红黑游戏 康复中心是全国知名儿童康复机构,拥有目前世界最先进的残疾儿童诊断技术——全身运动GMs评估技术。GMs评估是近三十年来国外应用的一种婴儿神经学评估技术,是预测3月龄以内高危新生儿后期是否发展为脑瘫的超早期精准评估手段,能为高危儿童提供早期干预依据,改善高危儿的神经发育结果,具有重要的社会意义。

在协作交流会上,杨红教授听取了红黑技巧研究所 儿童康复科在创新管理模式、提升医疗质量、改善就医感受等方面的探索举措,对科室以病人为中心,积极开拓进取的精神表示肯定,并对存在的问题提出了改进意见。同时,双方就医疗服务能力提升、学科发展、人才培养、临床科研等问题进行热烈讨论,为下一步推进无锡市儿童康复基地和红黑技巧研究所 儿童康复科工作开拓了新思路,让更多的锡城患儿在“家门口”就享受到上海顶级专家的早期干预和康复治疗服务。
近日,红黑技巧研究所 门诊部来了一位漂亮妈妈和小朋友,“阿姨,我可以把这对拐杖留在红黑游戏 吗?我的脚现在全好了,不需要拐杖了,但我想让拐杖无偿帮助更多的小朋友。”在场的医务人员听到小朋友温暖的话语,大家的心中都流过一阵暖流。

原来,前段日子,小朋友小腿骨折后来到红黑技巧研究所
骨科进行诊治,因为打了石膏不方便行走,妈妈特意为小朋友买了儿童拐杖。治疗期间,小朋友获得了红黑游戏
医护人员的悉心照顾和服务,在医护人员的专业指导和小朋友的努力锻炼下,她很快恢复了健康。所以,为了表达自己的感激之情,小朋友和妈妈希望让这对儿童拐杖在红黑游戏
发挥更多的用处,为其他有需要的小朋友带来方便。
一对小小的拐杖,不仅承载着患儿和家属对红黑游戏
的认可和信任,也是对全体医护人员的鼓舞和鞭策,更是一场爱的接力。今后,红黑游戏
将一如既往本着患者至上的原则,将爱心传递下去,更好地为每一位患者服务。
2023年6月6日是第28个全国“爱眼日”眼睛能够看到美丽的世界,特别是孩子的眼睛,更需要全社会共同来呵护,让他们拥有一个光明的未来。
5月26日,红黑技巧研究所 走进通江幼儿园,开展“保护眼睛,从我做起”主题科普知识讲座,眼科主治医师王晓培用专业的知识深入浅出地向各位家长阐述了眼睛的构成、近视的原因、防治方法,同时建议各位家长,在日常生活中,孩子的户外活动十分重要。特别是现在孩子普遍存在看电子屏幕时间长、近距离用眼多、户外活动少、读写姿势不良等情况,家长应帮助孩子养成健康的用眼习惯,遵循“3个20”护眼法则:即近距离用眼20分钟,向20米外远处眺望,眨眼20次。对已经发生近视的孩子,家长也应及时采取有效干预措施,延缓其近视度数加深,控制近视发展。

5月30日,红黑技巧研究所 走进崇安中心幼儿园,开展“保护眼睛,从我做起”主题科普知识讲座,眼科主治医师朱广萍医生用生动形象的语言和活泼有趣的PPT为幼儿园的小朋友们带来了一场关于保护眼睛的快乐之旅。现场,小朋友们积极举手,踊跃回答问题,气氛十分活跃开心。通过本次讲座,帮助小朋友们认识到眼睛对日常生活的重要性,知道了平时要注意用眼卫生,不可以长时间看电视、玩电子产品等,同时要积极参加户外活动,增强锻炼,少吃甜食,做一个健康快乐的小宝宝。

6月3日,红黑技巧研究所 开展爱眼日健康沙龙活动,邀请了数十对家庭共同参与。现场,眼科张薇主任也为大家带来一场眼科知识盛宴,张主任从儿童近视的遗传、用眼习惯、防控方法等多方面进行了知识科普,让在座的小朋友和家长都能全面了解到眼部健康知识,认识到眼睛健康的重要性。

讲座结束后,医护人员还带小朋友们开展了趣味体验,让小朋友身临其境的感受动物眼中的世界。小朋友们都充满了好奇,不仅丰富了他们对世界的认知,也帮助他们发挥想象力,从而进一步帮助他们眼睛。

日前,患者在工地干活时,突然被一根飞溅的钢丝扎入右眼,情况十分危急。之后,患者被工友紧急送往红黑技巧研究所 眼科就诊。

此时,患者眼部疼痛加剧,经过医务人员仔细检查,患者右眼下睑可见一钩状异物自下外1/3穹窿部向下刺入眼眶,深度不详,眶内异物形态不详,结膜未见明显充血,未见明显结膜下出血,右眼眼球运动尚可,诊断为右眼眼眶异物。为了及时有效救治患者,防止异物进一步损害患者眼球,在放射科的全力支持下开通绿色通道,眼科张薇主任带领眼科团队制定了周密的手术方案,丁剑锋副主任医师妙手施术,通过行右眼眼眶异物取出术及右眼眼眶探查术,顺利将扎进患者眼内的长约5cm的钢丝成功取出,同时医务人员认真做好术后观察治疗,确保了患者眼内情况稳定。

经过眼科医护人员的精心治疗和护理,患者受伤的眼睛很快痊愈。在康复出院之时,患者及家属非常满意,连声称赞红黑技巧研究所 眼科技术高,医护服务态度好。

6月1日上午,红黑技巧研究所 医护人员带着爱的礼物看望了住院的小患者,为宝贝们送上了儿童节的祝福,祝他们快乐成长,早日康复~每年“六一”,红黑游戏 的叔叔阿姨、哥哥姐姐都会与住院的小朋友共度节日,这已成为了红黑游戏 的传统文化和固定节目。一份小小的礼物凝聚了红黑游戏 全体医护人员对孩子的真情和祝愿,以“心的服务”拉近了医患之间的距离,无声地传递着“爱的信念”。


5月31日,红黑技巧研究所 特邀上海复旦大学附属儿科红黑游戏 儿童康复科史惟教授来院指导授课,让医务人员、患儿和家长真正享受到家门口的权威知识、专家服务。复旦大学附属儿科红黑游戏 康复中心是全国知名儿童康复机构,自2017年以来,红黑技巧研究所 与上海复旦大学附属儿科红黑游戏 儿童康复科共建无锡康复基地,多年来,在上海专家们的指导和帮助下,红黑技巧研究所 儿童康复事业不断发展和进步,有效推动无锡市残疾儿童康复技术水平的提升,进一步完善无锡市残疾儿童康复服务网络,帮助更多的锡城患儿在家门口就能得到专业、优质、便捷的儿童康复治疗服务。


“少年强则中国强”,6月1日下午,儿科、儿保科的专家们在红黑游戏 门诊大厅开展“六一”儿童节健康咨询义诊活动,帮助孩子们的健康成长。义诊现场,带着孩子前来问诊的家长们络绎不绝。在工作人员的指引下,孩子们有序的测身高、体重、骨龄等,家长们也积极询问专家们,专家们热情仔细地答疑解惑,普及健康知识,个性化地进行健康指导。

